| 治療内容 |
メタルインレーの詰め物をしている歯が二次虫歯になり、虫歯になりにくいセラミックにやりかえたケース。 痛む歯から順番にメタルインレーを除去して虫歯を削り、セラミックへとやりかえた。 その後は、メタルフリー化の希望に応じて噛み合わせの強い奥歯は強度のあるジルコニアインレーへ、その他のメタルインレーも全てセラミックにやりかえをした。 |
|---|---|
| 部位 |
右上4番5番6番7番 左上4番5番6番7番 右下5番6番7番 左下5番6番7番 |
| 治療期間 |
左下7番 2015年6月15日~2015年7月7日 右上6番 2019年11月7日~2019年11月26日 その他 2023年5月30日~2024年9月10日 |
| 副作用・リスク | 歯ぎしり等で強く噛み締めた場合、欠けることがある。そのため、歯ぎしりする方は寝ている間に就寝中のマウスピース装着を推奨している。 |
| 費用 | 159万6000円(税込) |
| 治療内容 |
左上2番コンポジットレジン(CR)で詰めたところが虫歯になり、CRとカリエスを除去して神経の保護材をつけてから、虫歯になりにくいオールセラミッククラウンに作り換えたケース。 反対咬合だったため正常咬合の設計にした。 |
|---|---|
| 部位 | 左上2番 |
| 治療期間 | 約1ヶ月(2024年6月13日~2024年7月12日) |
| 副作用・リスク | 歯ぎしり等で強く噛み締めた場合、欠けることがある。そのため、歯ぎしりする方は寝ている間に就寝中のマウスピース装着を推奨している。 |
| 費用 | 13万7500円(税込) |
| 治療内容 | 銀歯の詰め物を全て虫歯になりにくく美しいオールセラミックインレーにやりかえたケース。 |
|---|---|
| 部位 |
右上4番5番6番7番 左上5番6番7番 右下6番7番 左下6番7番(10年以上前に入れたセラミックインレー) |
| 治療期間 | 約1ヶ月(2024年4月3日~2024年5月8日) |
| 副作用・リスク | 歯ぎしり等で強く噛み締めた場合、欠けることがある。そのため、歯ぎしりする方は寝ている間に就寝中のマウスピース装着を推奨している。 |
| 費用 | 127万8000円(税込) |
| 治療内容 |
左上2番の前装冠(HR)の⻭が根本の先で膿んでしまい、⻭根端切除の⼿術をしても経過がよくならず抜⻭となったケース。 ブリッジであれば通常は3本連結となるが、カンチレバーブリッジ(ジルコニアセラミック)の適応でできたために左上1番2番の2本の連結で作製してもらった。 |
|---|---|
| 部位 | 左上1番2番 |
| 治療期間 |
2024年1⽉5⽇ 左上2番抜⻭ 2024年9⽉11⽇ 左上1番2番連結カンチレバーブリッジセット |
| 副作用・リスク | インプラントよりも隣の⻭に負担がかかる。 |
| 費用 | 32万1000円(税込) |
| 治療内容 | 左上2番の前装冠(HR)の⻭の根管治療が必要になり、それと同時に左右1番の前装冠(HR)の⻭もメタルコア(⼟台)が⼊っており古くなっていたので3本合わせてやりかえをしたケース。 |
|---|---|
| 部位 |
右上1番 左上1番2番 |
| 治療期間 | 2024年5⽉10⽇〜2024年9⽉19⽇ |
| 副作用・リスク | ⻭ぎしり等で強く噛み締めた場合、⽋けることがある。その為、⻭ぎしりする⽅は寝ている間に就寝中のマウスピース装着を推奨している。 |
| 費用 | 49万3500円(税込) |
| 治療内容 |
左上1番2番3番の根管治療後にCR(コンポジットレジン)で詰めていた歯を、ファイバーコアの土台を作製して、オールセラミックの被せ物にやりかえをしたケース。 左上1番は感染根管処置をしてから土台を作製した。 |
|---|---|
| 部位 | 左上1番2番3番 |
| 治療期間 | 2024.7.31~2024.11.8 |
| 副作用・リスク | 歯ぎしりや噛みしめの強い場合に欠けることがあるので歯ぎしり用のマウスピースを着用して就寝していただくことを推奨している。 |
| 費用 | 493,500円(税込) |
| 治療内容 | 右上4番の被せ物がコアごと脱離したことから治療を開始。痛む歯からメタルを順番に除去し、むし歯になりにくいセラミックにやりかえをしていった。その後、ご希望に応じてメタルインレーを全て強度の保てるジルコニアインレーにやりかえをした |
|---|---|
| 部位 |
右上4番5番6番7番 右下5番6番7番 左上4番5番6番7番 左下5番6番7番 |
| 治療期間 |
右上4番 2018.1.4~2018.5.7 右上6番 2020.6.26~2020.8.21 右上6番7番 左上6番7番 2022.2.3~2023.2.6 その他 右上5番 左上4番5番 右下5番6番7番 左下5番6番7番 2023.2.21~2023.11.2 |
| 副作用・リスク | 歯ぎしりや噛みしめの強い場合に欠けることがあるので歯ぎしり用のマウスピースを着用して就寝していただくことを推奨している。(この方は2018年から使用中) |
| 費用 | 172万500円(税込) |
| 治療内容 |
左上2番の神経の治療が必要になり、全体的に金属をやり換えたいご希望があったため、 左上1番2番と、右上2番のメタルコアを除去してファイバーコアにやり換え、歯頚部の黒い色が消せるように透明度の低いジルコニアセラミックを被せたケース。 全て同時に被せた方が色味がきれいに揃うので、生活歯の左右3番も合わせてジルコニアセラミックへやり換えをした。 |
|---|---|
| 部位 |
右上1番2番3番 左上1番2番3番 |
| 治療期間 | 2023.3.13~2023.12.28セット |
| 副作用・リスク | 歯ぎしり等で強く噛み締めた場合、欠けることがある。 |
| 費用 | 90万6000円(税込) |
| 治療内容 |
左上1番の歯茎にフィステルができたことから感染根管処置を開始し、ファイバーコアの土台を作製した後にオールセラミッククラウンの被せ物をしたケース。 左上1番の型取りのタイミングで右上1番の前装冠の被せ物とメタルコアを除去し、ファイバーコアの土台とオールセラミッククラウンの被せ物にやりかえることで色調を揃えて装着した。 |
|---|---|
| 部位 |
右上1番 左上1番 |
| 治療期間 | 2024.6.10~2024.9.30 |
| 副作用・リスク | 歯ぎしりや噛みしめの強い場合に欠けることがあるので歯ぎしり用のマウスピースを着用して就寝していただくことを推奨している。 |
| 費用 | 329,000円(税込) |
| 治療内容 | 右上6番のメタルインレーが脱離して、外れにくい被せ物のジルコニアクラウンにやりかえたケース。 |
|---|---|
| 部位 | 右上6番 |
| 治療期間 | 2023.11.7~2023.12.26 |
| 副作用・リスク | 歯ぎしりや噛みしめの強い場合に欠けることがあるので歯ぎしり用のマウスピースを着用して就寝していただくことを推奨している。 |
| 費用 | 137,500円(税込) |
| 治療内容 |
左下6番の感染根管処置後に、ファイバーコアの⼟台とジルコニアクラウンを装着したケース。 奥⻭なのですり減りにくく汚れのつきにくいジルコニアの素材を選択された。 |
|---|---|
| 部位 | 左下6番 |
| 治療期間 | 2025.9.25 ~2026.2.26 |
| 副作用・リスク | ⻭ぎしりなどで⽋けることを防ぐため、就寝⽤のマウスピース着⽤を推奨している。 |
| 費用 | 167,000円(税込) |
| 治療内容 | 元々銀の被せ物が入っていた歯にすき間が生じ合わなくなってきて再治療が必要になった。根管治療が途中のまま期間が空いてしまい治療を再開したところ、予後不良になり抜歯となったケース。今までと変わらずに噛めるかどうか考えた時にインプラントが最適だと選択された。 |
|---|---|
| 部位 | 左上6番 |
| 治療期間 | 2023年1月24日~2023年7月18日 |
| 副作用・リスク | インプラント周囲炎を予防するため専門のクリーニング(エアフロー)を推奨し ている。 |
| 費用 |
CT撮影 5,500円(税込) インプラント埋入 360,000円(税込) ジルコニアクラウン 135,000円(税込) |
| 治療内容 | 元々、上顎6番が左右欠損している状態のままでいた患者様。 右上5番7番、左上5番の虫歯治療が終了してから、両側6番目の歯も今までと変わらずに噛めるかどうか考えた時にインプラントが最適だと選択された。 |
|---|---|
| 部位 | 右上5番7番 左上5番 右上6番 左上6番 |
| 治療期間 | 右上5番7番左上5番 2022年6月23日〜2023年7月12日 右上6番 2023年11月10日〜2024年4月4日 左上6番 2024年1月10日〜2024年6月1日 |
| 副作用・リスク | インプラント周囲炎を予防するため専門のクリーニング(エアフロー)を推奨している。 |
| 費用 |
右上5番オールセラミッククラウン 154,500円(税込) 右上7番ジルコニアインレー 120,000円(税込) 左上5番ジルコニアインレー 106,000円(税込) 左右6番CT撮影 5,500円(税込) 左右6番インプラント埋入 360,000円×2本=720,000円(税込) 左右6番ジルコニアクラウン 135,000円×2本=270,000円(税込) |
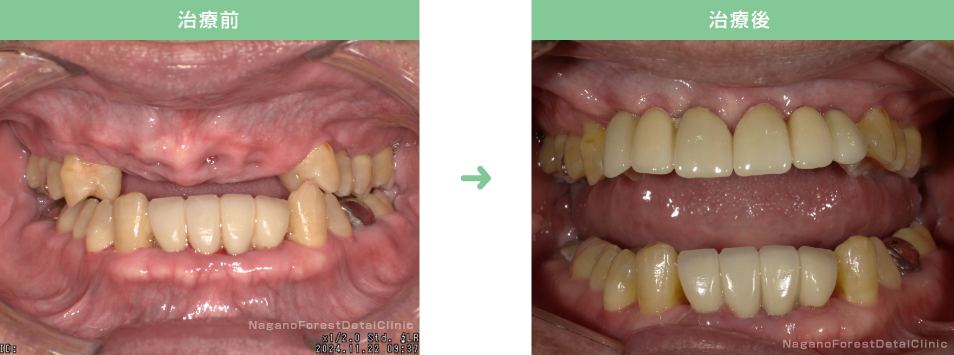
| 治療内容 | 歯周病の進行により右上1番2番3番左上1番3番の抜歯が必要になった。左上2番は元々欠損していた。 抜歯後に斬間義歯を作製し、歯周内科治療のご希望に応じて治療が終了した所で、インプラントを選択された。 1回目の手術で右上1番3番左上1番3番に4本インプラントを埋入した。 3ヶ月後にアバットメントを装着して仮歯にしておき、1ヶ月後に上部構造の型取りをして出来上がったインプラント部ブリッジが装着された。 |
|---|---|
| 部位 | 右上1番2番3番 左上1番2番3番 |
| 治療期間 | 初診日 2024.8.31 総合病院へ紹介状を出して抜歯 2024.11.12 当院で斬間義歯セット 2024.11.13 歯周内科 2025.4.3 インプラント相談CT撮影 2025.4.7 インプラント1次オペ 2025.5.12 インプラント2次オペ仮歯作製 2025.8.25 インプラントBr装着 2025.10.27 |
| 副作用・リスク | インプラント周囲炎の予防の、インプラント部専用のクリーニングを推奨している 歯ぎしりなどで欠けることを防ぐため、就寝用のマウスピース着用を推奨している。 |
| 費用 |
インプラント部CT撮影 5500円 インプラント埋入1本36万円×4本=144万円 右上1番2番3番ジルコニアセラミックブリッジ47万4000円 左上1番2番3番ジルコニアセラミックブリッジ47万4000円 |
| 治療内容 | 下顎全歯の叢生、左上2番の交叉咬合を治したいという希望があったので、マウスピース矯正装置(クリアコレクト®)により治療した。 |
|---|---|
| 部位 | 全顎 |
| 治療期間 | 1年6ヶ月 |
| 副作用・リスク |
歯が動くときの痛み、噛み合わせが変化していくことによる違和感。 歯の根っこが短くなってしまう可能性、歯の神経がダメージを受ける可能性がある。 |
| 費用 |
423,500円(税込) (330,000円(税込)(矯正治療費)+93,500円(税込)(再診料並び修正料)) |
| 治療内容 |
他院で15年前に根管治療済みの歯が、再度腫れてきて骨も溶けている状態に至ったケース。 予後不良で抜歯が必要になったため、右上の親知らずを移植することを選択された。 移植歯の感染根管処置を行った後、ファイバーコアを土台にし、被せ物は強度があり汚れのつきにくいジルコニアクラウンにした。 |
|---|---|
| 部位 | 右上6番 |
| 治療期間 | 2024年11月8日〜2025年3月6日 |
| 副作用・リスク | 歯ぎしりなどで欠けることを防ぐため、就寝用のマウスピース着用を推奨している。 |
| 費用 |
移植(自費)220,000円(税込) ファイバーコア27,000円(税込) 仮歯2500円(税込) ジルコニアクラウン135,000円(税込) |